吃瓜网每日大赛
  • 首页
  • 最新爆料
  • 热门大瓜
  • 娱乐头条
  • 网红明星
  • 娱乐新闻
  • 吃瓜热榜
  • 华航内部爆料视频最新版,最新版揭露惊人内幕

    最近网上可是炸开了锅,华航内部爆料视频的最新版又出来了!这次的视频内容可是相当劲爆,让人忍不住想一探究竟。咱们就一起来聊聊这个话...

    • 华航内部爆料视频最新版,最新版揭露惊人内幕
    • 华航内部爆料视频最新版,最新版揭露惊人内幕
    • 华航内部爆料视频最新版,最新版揭露惊人内幕
    admin admin 2025-09-18 411 0
    娱乐新闻
  • 父爱如山在线观看,温情演绎感人至深的亲情故事

    父爱如山,温情在线——一场跨越时空的感动之旅亲爱的你,有没有想过,在忙碌的生活中,找一段时光,静静地坐下来,感受那份深沉的父爱呢...

    • 父爱如山在线观看,温情演绎感人至深的亲情故事
    • 父爱如山在线观看,温情演绎感人至深的亲情故事
    • 父爱如山在线观看,温情演绎感人至深的亲情故事
    admin admin 2025-09-18 500 0
    网红明星
  • 创意爆料视频大全,揭秘创意爆料视频大全

    创意爆料视频大全:揭秘网络世界的趣味瞬间亲爱的读者们,你是否曾在某个闲暇时刻,无意间刷到了一个让人捧腹大笑的视频,或者是一个让人...

    • 创意爆料视频大全,揭秘创意爆料视频大全
    • 创意爆料视频大全,揭秘创意爆料视频大全
    • 创意爆料视频大全,揭秘创意爆料视频大全
    admin admin 2025-09-18 406 0
    娱乐新闻
  • andante在线观看,探索andante在线观看的视听盛宴

    你有没有想过,有时候一部电影或者电视剧,就像是一扇窗,透过它,我们可以窥见另一个世界,感受不同的生活。今天,我要给你介绍的就是这...

    • andante在线观看,探索andante在线观看的视听盛宴
    • andante在线观看,探索andante在线观看的视听盛宴
    • andante在线观看,探索andante在线观看的视听盛宴
    admin admin 2025-09-18 445 0
    吃瓜热榜
  • 戚薇二胎爆料了吗视频,甜蜜分享幸福瞬间

    最近娱乐圈可是热闹非凡呢!戚薇这个辣妈,自从生了小Lucky之后,就一直是粉丝们关注的焦点。这不,最近网上突然爆出了一段戚薇二胎...

    • 戚薇二胎爆料了吗视频,甜蜜分享幸福瞬间
    • 戚薇二胎爆料了吗视频,甜蜜分享幸福瞬间
    • 戚薇二胎爆料了吗视频,甜蜜分享幸福瞬间
    admin admin 2025-09-18 436 0
    娱乐新闻
  • 娱乐爆料伍佰视频,幕后故事揭秘!

    你知道吗?最近娱乐圈可是炸开了锅,因为有一位超级巨星的视频曝光了!没错,就是那位才华横溢、音乐风格独特的伍佰!让我们一起揭开这神...

    • 娱乐爆料伍佰视频,幕后故事揭秘!
    • 娱乐爆料伍佰视频,幕后故事揭秘!
    • 娱乐爆料伍佰视频,幕后故事揭秘!
    admin admin 2025-09-16 464 0
    吃瓜热榜
  • 沧州爆料青县事件视频最新,沧州爆料引发社会关注

    最近沧州青县发生了一件让人热议的事件,视频在网上传得沸沸扬扬。这不,我就迫不及待地来给你揭秘一下这个事件的来龙去脉,让你一探究竟...

    • 沧州爆料青县事件视频最新,沧州爆料引发社会关注
    • 沧州爆料青县事件视频最新,沧州爆料引发社会关注
    • 沧州爆料青县事件视频最新,沧州爆料引发社会关注
    admin admin 2025-09-16 458 0
    网红明星
  • 爆料二姐视频下载,独家爆料带你领略幕后真相

    你有没有听说最近网上那个二姐的视频超级火啊?没错,就是那个在抖音上爆红的二姐,她的视频不仅搞笑,还特别有个性,让人看了忍不住想笑...

    • 爆料二姐视频下载,独家爆料带你领略幕后真相
    • 爆料二姐视频下载,独家爆料带你领略幕后真相
    • 爆料二姐视频下载,独家爆料带你领略幕后真相
    admin admin 2025-09-16 440 0
    娱乐新闻
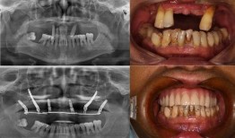
  • 佛山种牙爆料事件最新,揭露行业乱象,患者权益如何保障?

    最近佛山那边的种牙事件可是闹得沸沸扬扬的,咱们得好好来聊聊这个话题。你有没有想过,一颗牙齿的种植竟然能引发这么大的波澜?那就让我...

    • 佛山种牙爆料事件最新,揭露行业乱象,患者权益如何保障?
    • 佛山种牙爆料事件最新,揭露行业乱象,患者权益如何保障?
    • 佛山种牙爆料事件最新,揭露行业乱象,患者权益如何保障?
    admin admin 2025-09-16 462 0
    吃瓜热榜
  • 拉尔萨采访爆料视频大全,揭秘娱乐圈幕后真相

    你知道吗?最近网上可是掀起了一股热潮,那就是关于拉尔萨的采访爆料视频大全。这位娱乐圈的“话题女王”每次出场都能引起一片轰动,这次...

    • 拉尔萨采访爆料视频大全,揭秘娱乐圈幕后真相
    • 拉尔萨采访爆料视频大全,揭秘娱乐圈幕后真相
    • 拉尔萨采访爆料视频大全,揭秘娱乐圈幕后真相
    admin admin 2025-09-16 433 0
    娱乐头条
首页 上一页 52 53 54 55 56 57 58 59 60 61 下一页 尾页

正在加载...

没有更多内容

加载错误

热评文章

  • 港媳嫁到在线观看,跨越两岸的甜蜜爱情故事

    港媳嫁到在线观看,跨越两岸的甜蜜爱情故事

    2025-07-10
  • 英国女友爆料事件视频

    英国女友爆料事件视频

    2025-07-10
  • 王者最新勇者升史诗爆料,王者峡谷新英雄勇者升史诗级爆料来袭!

    王者最新勇者升史诗爆料,王者峡谷新英雄勇者升史诗级爆料来袭!

    2025-07-10
  • 南昌最新爆料,揭秘城市风云背后的惊人真相

    南昌最新爆料,揭秘城市风云背后的惊人真相

    2025-07-10
  • woj最新爆料哈登,最新爆料揭示转会内幕

    woj最新爆料哈登,最新爆料揭示转会内幕

    2025-07-10
  • 纯情韩国电影在线观看,浪漫青春,心动瞬间

    纯情韩国电影在线观看,浪漫青春,心动瞬间

    2025-07-10
  • 东莞工地爆料最新消息,揭秘施工现场惊人真相

    东莞工地爆料最新消息,揭秘施工现场惊人真相

    2025-07-10
  • 威海爆料小三事件视频最新,真相大白,家庭风波再起

    威海爆料小三事件视频最新,真相大白,家庭风波再起

    2025-12-13

热门文章

  • 萌娃爆料老爸视频,视频走红网络

    萌娃爆料老爸视频,视频走红网络

    2025-09-14
  • 吃瓜学妹学长小说免费阅读,校园风云录

    吃瓜学妹学长小说免费阅读,校园风云录

    2025-09-14
  • 东莞工地爆料最新消息,揭秘施工现场惊人真相

    东莞工地爆料最新消息,揭秘施工现场惊人真相

    2025-07-10
  • 英国女友爆料事件视频

    英国女友爆料事件视频

    2025-07-10
  • 娱乐圈 爆料赵又廷,揭秘明星背后的故事

    娱乐圈 爆料赵又廷,揭秘明星背后的故事

    2025-07-11
  • 港媳嫁到在线观看,跨越两岸的甜蜜爱情故事

    港媳嫁到在线观看,跨越两岸的甜蜜爱情故事

    2025-07-10
  • 纯情韩国电影在线观看,浪漫青春,心动瞬间

    纯情韩国电影在线观看,浪漫青春,心动瞬间

    2025-07-10
  • woj最新爆料哈登,最新爆料揭示转会内幕

    woj最新爆料哈登,最新爆料揭示转会内幕

    2025-07-10

标签列表

  • 吃瓜网t7wcc (0)
  • 黑料吃瓜网 (0)
  • 网曝黑料猛料吃瓜网 (0)
  • 反差黑料吃瓜网正能量 (0)
  • 反差婊吃瓜黑料热门网曝 (0)
  • 国产热门事件黑料吃瓜网汇总 (0)
  • 17吃瓜网官网 (0)
  • 网曝黑料国产吃瓜 (0)
  • cg51吃瓜网黑料 (0)
  • 黑料吃瓜网免费进入 (0)
  • 51fun吃瓜网-热心群众张炳 (0)
  • 吃瓜网51爆料yandex (0)
  • 吃瓜爆料网不打烊 (0)
  • 51FUN吃瓜网官网 (0)
  • 免费黑料吃瓜网爆网站 (0)
  • 黑料吃瓜最新官网地址:ZZTT.WINZZTT.WIN (0)
  • 吃瓜黑料网免费进入 (0)
  • 国产热门事件黑料吃瓜网 (0)
  • 网曝吃瓜黑料一区在线 (0)
  • 黑料吃瓜网在线进入首页 (0)
  • 黑瓜吃料网入口 (0)
  • 黑料吃瓜155.网爆国产 (0)
  • 17C吃瓜网 - 免费吃瓜 (0)
  • 黑料吃瓜网-热点事件-黑料不打烊 (0)
  • 51吃瓜爆料黑料官网I60UJBN (0)

Copyright 2025 每日大赛官网 - 吃瓜爆料每日大赛聚集地 mrds.fun